Lusk Family Dentistry

We are open and accepting appointments for all services. Contact our dental office at (505) 325-8401 to schedule your appointment today!

 

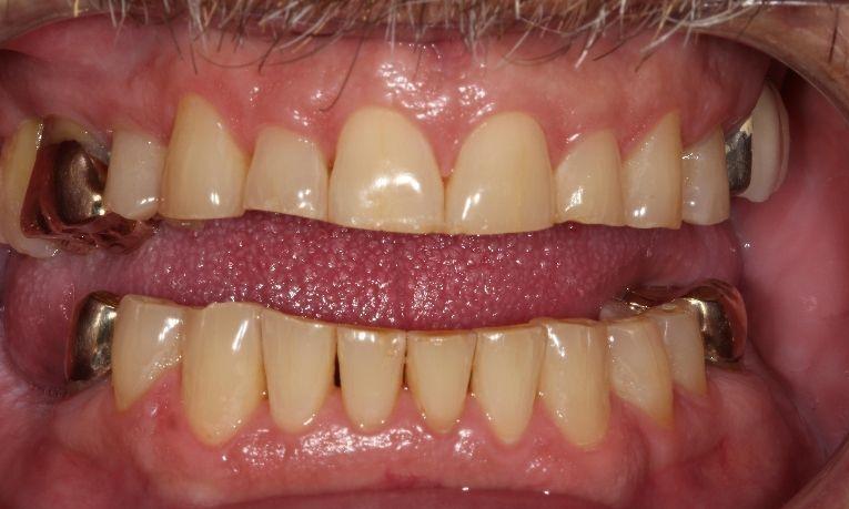
Ceramic Bonding

The visible wear on this patients teeth was very apparent after years of grinding and clenching his teeth. Notice the tips of the teeth in both images; the restorative process helped elongate his teeth and prevent further breakage. Dr. Lusk was able to restore the teeth to their former glory using tooth colored filling material that matched the shade of his teeth perfectly.

What else can dental bonding do?

With this particular patient, we fixed the tips of the upper and lower teeth. When a tooth has a chip, there is a high possibility of the tooth breaking further.

If your teeth have spacing between one another, dental bonding is an easy fix to make your teeth touch (we call this "tight contact," in dentistry). Learn more ways that dental bonding improves smiles on our service page.

Find out today if dental bonding is right for you

If you want to fill in a space or get rid of metal fillings, schedule an appointment on our contact page today! Or you can give our Farmington office a call at (505) 325-8401.

Service Performed By:

Dr. Jared Lusk
Ready to book an appointment?
If you have difficulty using our website, please email us or call us at (505) 325-8401
Privacy Policy