Smile Gallery
At Lusk Family Dentistry, we know a smile is often the first thing other people notice about you. If you are embarrassed to show your smile, this can have a negative impact on every part of your life! Nobody needs to be unhappy with their smile given the cosmetic dental options available today. Dr. Jared Lusk loves to work with patients to improve both the form and function of their teeth, giving them smiles they love to show off.


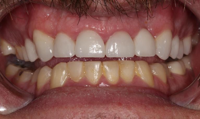
Using state-of-the-art restorative techniques, Dr. Lusk has the skill and experience necessary to handcraft your custom ceramic crowns so that you can obtain the beautiful, natural-looking smile you have been dreaming of.
How Ceramic Crowns can change your lifestyle
Dental crowns are an excellent way to restore a smile to a healthier and happier state. They can fix several teeth that may be cracked, heavily compromised with a cavity or misshapen.
Though dental crowns help fix damaged teeth, they can help simple day to day activities such as chewing, smiling and even talking. Learn more on our dental crown ...


After dealing with an ill-fitting partial denture for years, this custom fixed bridge restored function and smiles for this patient.
The benefits of a dental bridge
When a tooth is extracted, the gum tends to recede from the original line which can cause adjacent teeth to suffer from gum recession. It is easier to prevent this than fixing the issue when it arises. Dental bridges help those gums stay in tact. Additionally, eating becomes much much easier when you have a full set of teeth. Learn more about the benefits of a dental bridge on our service page.
Missing areas? Schedule a consultation
If ...


This patient was unhappy with the discoloration of the front teeth. After correcting the issue with a custom veneers, our patient is all smiles again! By adding veneers to this patients front teeth, we were able to close the gap in their smile!
What dental veneers can do for you
Whether it is a discolored, misshapen or gaped tooth, a veneer can fix all of those issues. Our team at Lusk Family Dentistry will make sure it matches the natural shade of the rest of the mouth, that way no one can tell it's a veneer. Learn more in depth knowledge about ...


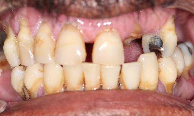
This patient lost a front tooth as a child due to an accident. After the extraction of a badly decayed adjacent tooth, Dr. Lusk was able to customize a fixed bridge that restored both function and beauty to the missing spaces.
Dental bridges can help improve your lifestyle
Bridges are an excellent and relatively affordable way to improve your smile. Activities such as eating, talking and smiling become more comfortable. Learn more about our dental bridges on our service page.
Have a missing tooth? Consider a dental bridge
Schedule a consultation today if you are curious about getting a dental bridge. You ...


The visible wear on this patients teeth was very apparent after years of grinding and clenching his teeth. Notice the tips of the teeth in both images; the restorative process helped elongate his teeth and prevent further breakage. Dr. Lusk was able to restore the teeth to their former glory using tooth colored filling material that matched the shade of his teeth perfectly.
What else can dental bonding do?
With this particular patient, we fixed the tips of the upper and lower teeth. When a tooth has a chip, there is a high possibility of the tooth breaking further.
If your teeth have ...


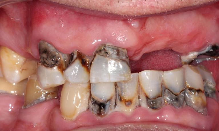
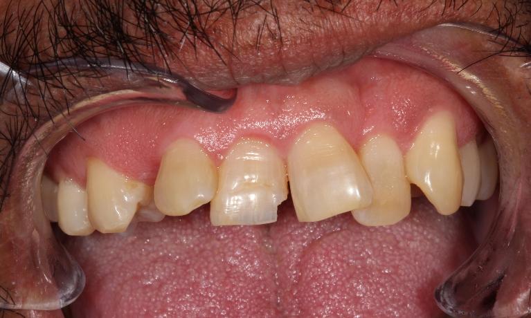
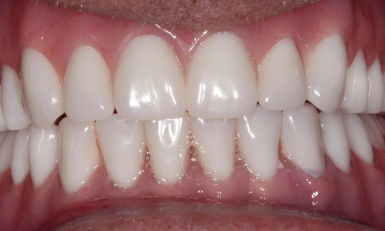
This patient arrived in our office with a tooth that had broken off at the gumline. Dr. Lusk was able to restore the tooth using a pin and build-up, and finishing it off with a custom ceramic crown.
Dental crowns fixing broken teeth
No matter how severely damaged a tooth is, Lusk Family Dentistry will find a way to restore your smile back. Getting a dental crown will make chewing much easier, and you wont have to shy away from smiling. Learn more about how a dental crown can help you improve your lifestyle on our service page.
Have a missing or broken ...


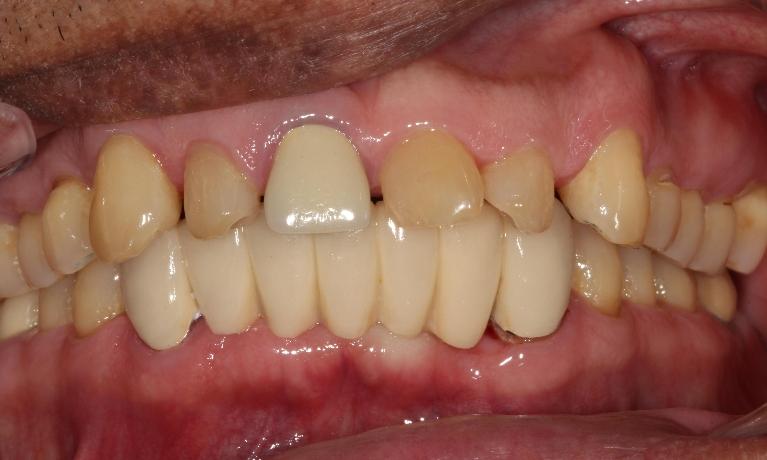
This patient was unhappy with her worn and chipped teeth. Dr. Lusk was able to restore beauty and functionality with ceramic crowns in Farmington, NM. Now our patient can't stop smiling! If you want to learn more about dental crowns at Lusk Family Dentistry call your dentist in Farmington, NM today.


Look at the difference a custom full denture can make! This patient at Lusk Family Dentistry could not be happier with her new custom denture from Dr. Lusk. To learn more about custom full dentures in Farmington, NM call our dentist office to schedule your next dental appointment with us.


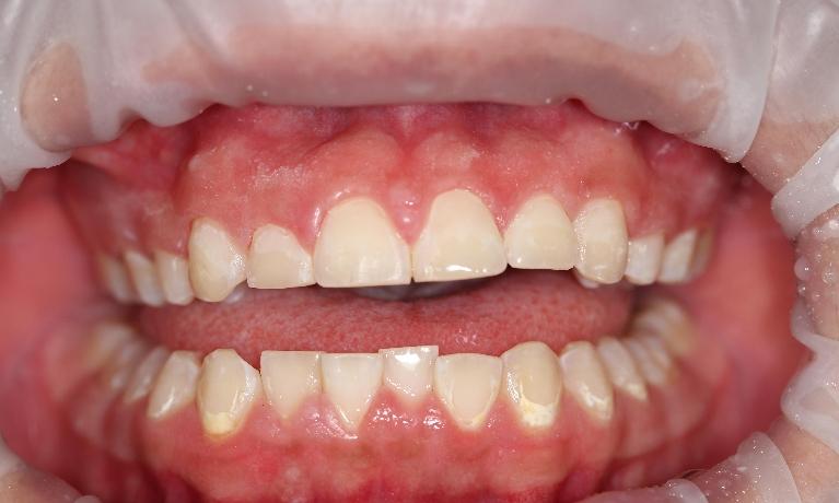
Our patient at Lusk Family Dentistry was unhappy with the uneven appearance and the color of her teeth. We placed 6 porcelain veneers and she is now very happy with her smile. If you would like to learn more about porcelain veneers in Farmington, NM call Lusk Family Dentistry today.


Missing teeth and gum disease left this patient with a mouth unable to function properly. With new dentures, he now has full function and improved health and a beautiful smile.
Existing dentures did not fit our patient's mouth or her face leaving her unhappy with her smile and the function of her teeth. With her new dentures, she now has a beautiful, natural-looking smile.
We replaced his full upper denture with a more natural-looking and beautiful new one. His lower partial denture was compromised due to decay and gum disease. We were able to replace this with a new, custom denture held in place with dental implants. The end results look amazing.
New custom dentures transformed our patient's smile. This patient was able to completely transform their smile with dentures that can be fitted in one day.
A beautiful white smile to replace missing and loose teeth. This patient had multiple missing teeth and was able to regain their confidence back with full upper and lower dentures.
This patient was having trouble keeping her lower denture in place. Dr. Lusk placed two implants and now her denture snaps in place and holds strong.
When dentures do not fit well
There are several ways to secure a denture. If the denture is old and worn, we can make a new denture. But if the denture is in tact and it is not fitting right, we can make implant secured dentures for a comfortable and tight fit.
Contact our Farmington office today for secured dentures
Whether it is an implant, denture or a mix of both we can help ...
A complete makeover with new dentures really is life changing. This patient had missing teeth and tooth decay ruin their confidence. But through the use of immediate dentures we were able to restore their entire, confident smile.


Amazing smile transformation with ceramic veneers! This patient, for the most part, had a good smile but through the use of ceramic veneers we were able to close the gaps and take their smile from good to great! Learn more about veneers in Farmington, NM by calling Lusk Family Dentistry to speak with our expert dental team.
You can regain the appearance of a beautiful smile by simply reshaping and restoring worn down teeth with custom-designed ceramic veneers or crowns. Dr. Lusk has recently undergone extensive training in restorative dentistry and smile rejuvenation. Learn more about how dental crowns in Farmington, NM can help you restore your smile by calling Lusk Family Dentistry.
These all porcelain crowns look beautiful, feel and function so naturally! We provide crowns that are designed with some of the finest materials available in today's dentistry. Our skilled lab is able to create and fabricate a fit that matches your function and appearance perfectly. With skilled placement and care, a crown is a long lasting solution to tooth restoration. If you feel like dental crowns in Farmington, NM are the right dental procedure for you, call Lusk Family Dentistry today!
A cavity in a front tooth can be unsightly. Our patient at Lusk Family Dentistry was able to restore her beautiful smile with tooth colored composite filling material! Do you want to learn more about cosmetic bonding in Farmginton, MN? Contact Lusk Family Dentistry today to schedule your cosmetic dentistry appointment with us.


In a short amount of time this patient was able to change the shape of her teeth, size, color, and most importantly her smile! Ceramic veneers are ultra-thin shells of ceramic porcelain and are bonded to your natural teeth. Do you want to learn more about ceramic veneers in Farmington, NM? Contact Lusk Family Dentistry to schedule your ceramic veneers consultation today.
Conventional dentures are as easy as one, two, three! With as little as one or two visits and a few impressions, our state of the art dental lab will fabricate a custom denture to fit you perfectly! Look at this huge transformation!
Incredible results and inspiring journeys. A existing denture can function and fit for a long period of time. Replacing your dentures can make a huge life changing impact! Absolutely BEAUTIFUL!
Dentures can be life changing for a patient who is living with few or no teeth. Dr. Lusk is skilled in creating custom full and partial dentures, including implant-retained prosthesis.
WOW! After years of hiding her teeth and being ashamed to smile, this patient of ours absolutely LOVES her results!
Dentures to complete smiles
For patients that have several missing areas we offer dentures. Dentures are a financially efficient way to recreate a confident smile that you do not have to shy away from. Learn more about our dentures and partials on our service page.
Contact your Farmington NM office today
If you have missing areas that you want to be recovered contact our office today. You can give our office a call at (505) 325-8401. You can schedule an appointment through our ...
Dental bridges are a simple and effective way to close the gaps of missing teeth, restoring the aesthetics and functionality of a beautiful smile! If you would like to learn more about dental bridges in Farmington, MN give Lusk Family Dentistry a phone call today.
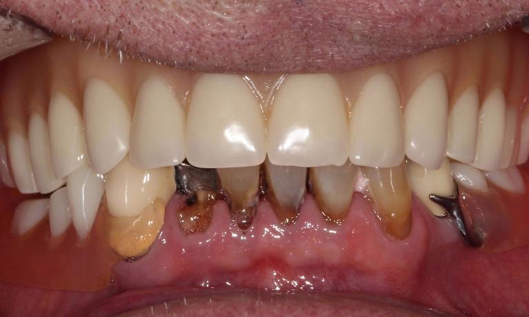
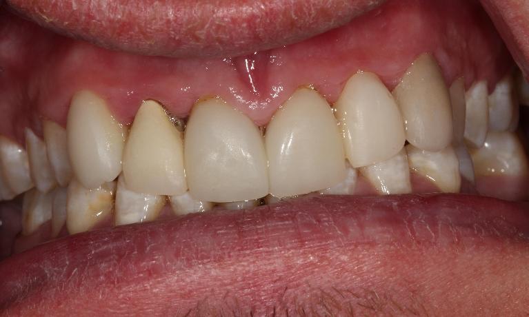
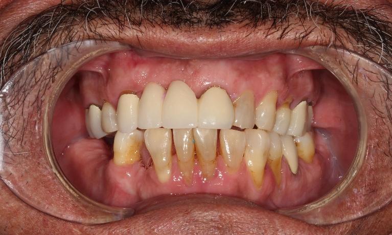
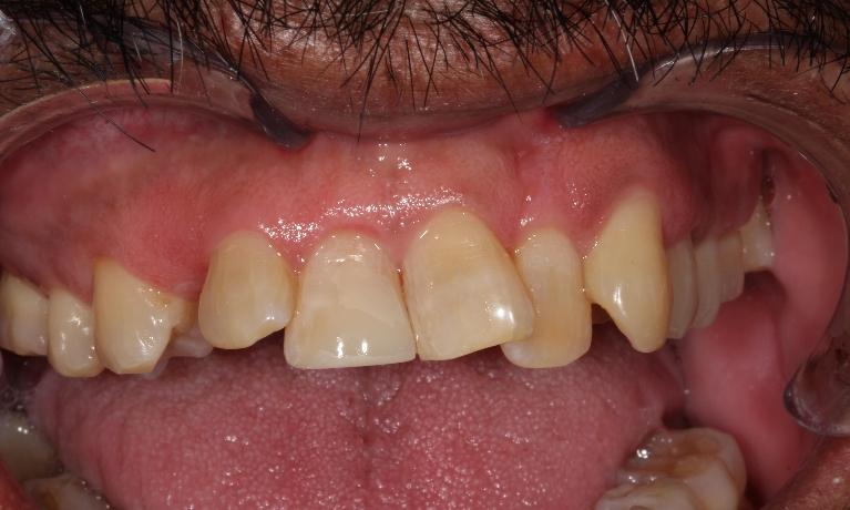
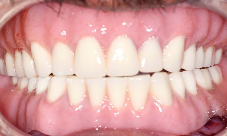
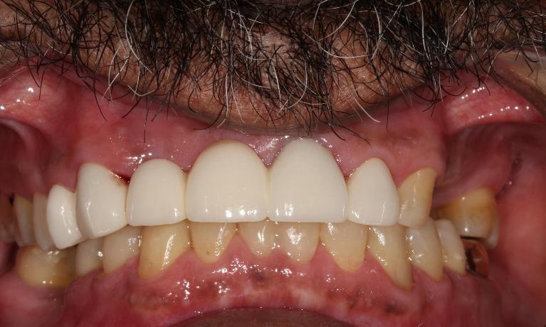
Due to periodontal disease and substantial bone loss the lower front teeth were so loose they needed to be removed and replaced. After extracting a few teeth a bridge was permanently cemented to take the place of the missing teeth!
Fixing smiles after gum disease
When patients suffer gum disease and it is left untreated, tooth and bone loss can occur. When this happens, Lusk Family Dentistry can recreate your smile. This patient in particular did well with dental crowns. For more information on how to restore your smile check out our dental crown and bridge page.
Contact us ...
We provide metal-free dental fillings to patients looking for a natural looking alternative to the once traditional metal amalgum. These types of fillings are stronger, more durable, and look great when compared the traditional metal amalgum fillings that are becoming a thing of the past. Often times Dr. Lusk will place a thin sheet of rubber "dental dam" around your tooth to keep the restoration process clean and dry. A tooth colored white composite filling material will bond to your tooth and will look and function like natural teeth should!
Dental bonding in our dental office is an easy, conservative way to enhance the appearance of the teeth. It is also a super easy procedure used to repair chips and cracks in your teeth, or to correct alignment in a way that looks completely natural. Do you want to learn more about cosmetic bonding? Contact Lusk Family Dentistry to schedule your next dental appointment with us.
Composite resin is a tooth colored filling material used to mimic the natural color of your existing teeth. This patient chipped her tooth and was unsure about what was going to happen.
How Lusk Family Dentistry fixed this smile
Dr. Lusk was able to restore the tooth with composite bonding and create a seamless filling that is undetectable with the human eye at a social distance. When the tooth stays in tact to not require a dental crown, we can restore the tooth to a natural state with the help of a natural tooth colored filling. Learn more about
This patient really disliked the discoloration of her teeth. She always hid her smile until now. Tooth colored filling material was simply bonded to the face of her teeth. If you would like to learn more about cosmetic dentistry in Farmington, NM call Lusk Family Dentistry to schedule your next dental appointment with us.
Advice for all: Don't ever use your teeth to open a bottle! This chipped tooth was restored with cosmetic bonding at Lusk Family Dentistry. After the dental procedure, the tooth was back to full function and looked as good as new with a little tooth colored composite material! If you want to learn more about how cosmetic bonding can help you complete your smile call Lusk Family Dentistry today.