Lusk Family Dentistry

We are open and accepting appointments for all services. Contact our dental office at (505) 325-8401 to schedule your appointment today!

 

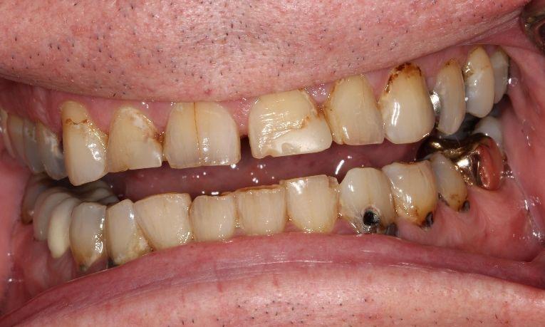
Ceramic Crowns

Using state-of-the-art restorative techniques, Dr. Lusk has the skill and experience necessary to handcraft your custom ceramic crowns so that you can obtain the beautiful, natural-looking smile you have been dreaming of.

How Ceramic Crowns can change your lifestyle

Dental crowns are an excellent way to restore a smile to a healthier and happier state. They can fix several teeth that may be cracked, heavily compromised with a cavity or misshapen. 

Though dental crowns help fix damaged teeth, they can help simple day to day activities such as chewing, smiling and even talking. Learn more on our dental crown service page.

Contact your Farmington Dentist today

If you think a dental crown can help improve an area in your mouth, give us a call today! You can schedule an appointment on our contact page or call us during business hours at (505) 325-8401.

Service Performed By:

Dr. Jared Lusk
Getting an appointment is fast and easy!
If you have difficulty using our website, please email us or call us at (505) 325-8401
Privacy Policy