Lusk Family Dentistry

We are open and accepting appointments for all services. Contact our dental office at (505) 325-8401 to schedule your appointment today!

 

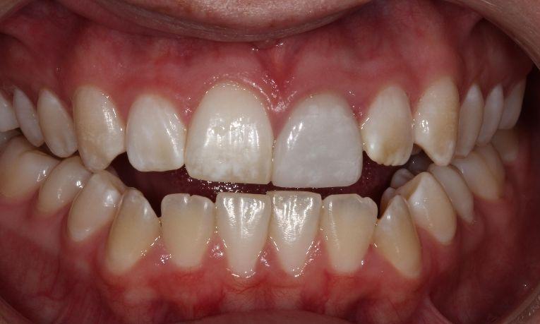
Ceramic Veneers

This patient was unhappy with the discoloration of the front teeth. After correcting the issue with a custom veneers, our patient is all smiles again! By adding veneers to this patients front teeth, we were able to close the gap in their smile!

What dental veneers can do for you

Whether it is a discolored, misshapen or gaped tooth, a veneer can fix all of those issues. Our team at Lusk Family Dentistry will make sure it matches the natural shade of the rest of the mouth, that way no one can tell it's a veneer. Learn more in depth knowledge about our veneers on our service page.

Want a dental veneer? Contact us today

If you think your mouth will benefit from a dental veneer you can schedule an appointment with us on our contact page. Or give us a call at (505) 325-8401 during regular business hours.

Service Performed By:

Dr. Jared Lusk
Ready to book an appointment?
If you have difficulty using our website, please email us or call us at (505) 325-8401
Privacy Policy