Lusk Family Dentistry

We are open and accepting appointments for all services. Contact our dental office at (505) 325-8401 to schedule your appointment today!

 

Cosmetic Bonding

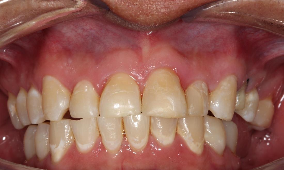
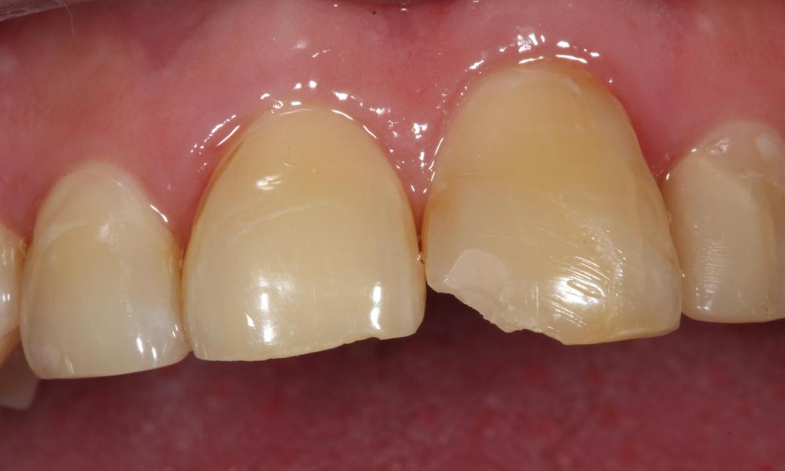
Composite resin is a tooth colored filling material used to mimic the natural color of your existing teeth. This patient chipped her tooth and was unsure about what was going to happen.

How Lusk Family Dentistry fixed this smile

Dr. Lusk was able to restore the tooth with composite bonding and create a seamless filling that is undetectable with the human eye at a social distance. When the tooth stays in tact to not require a dental crown, we can restore the tooth to a natural state with the help of a natural tooth colored filling. Learn more about tooth colored fillings on our service page.

Have a chipped tooth? Call our Farmington office today

Our team is happy to fix chips in your smile. Call Lusk Family Dentistry at (505) 325-8401. You can schedule an appointment through our contact page as well.

Service Performed By:

Dr. Jared Lusk
Ready to book an appointment?
If you have difficulty using our website, please email us or call us at (505) 325-8401
Privacy Policy