Lusk Family Dentistry

We are open and accepting appointments for all services. Contact our dental office at (505) 325-8401 to schedule your appointment today!

 

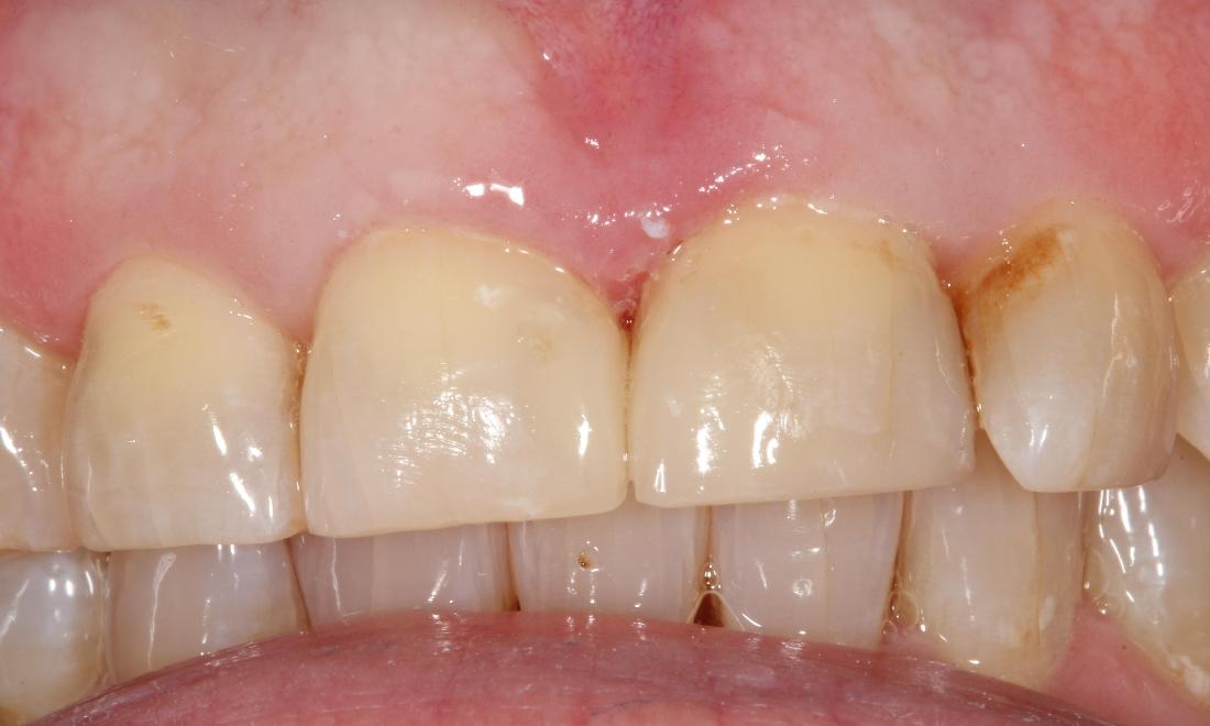
Cover Unsightly Cavities with Cosmetic Bonding

A cavity in a front tooth can be unsightly. Our patient at Lusk Family Dentistry was able to restore her beautiful smile with tooth colored composite filling material! Do you want to learn more about cosmetic bonding in Farmginton, MN? Contact Lusk Family Dentistry today to schedule your cosmetic dentistry appointment with us. 

Service Performed By:

Dr. Jared Lusk
Have Questions? Get in Touch
If you have difficulty using our website, please email us or call us at (505) 325-8401
Privacy Policy