Lusk Family Dentistry

We are open and accepting appointments for all services. Contact our dental office at (505) 325-8401 to schedule your appointment today!

 

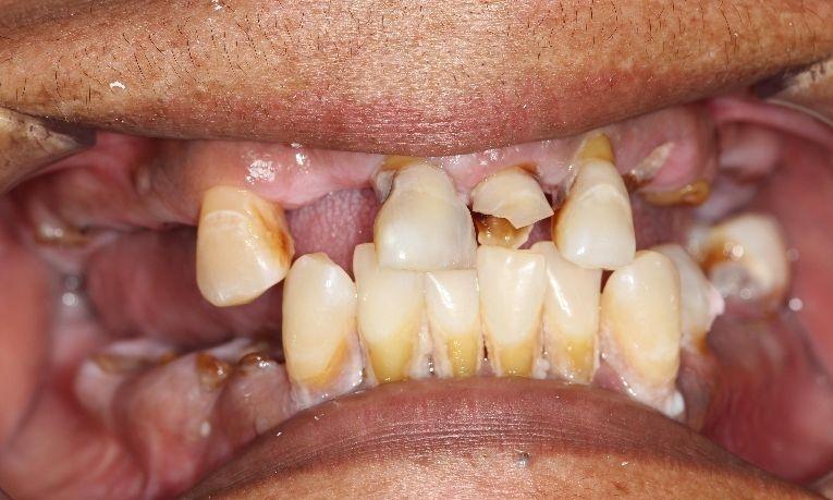
Custom Dentures For a Custom Smile

Look at the difference a custom full denture can make! This patient at Lusk Family Dentistry could not be happier with her new custom denture from Dr. Lusk. To learn more about custom full dentures in Farmington, NM call our dentist office to schedule your next dental appointment with us. 

Service Performed By:

Dr. Jared Lusk
Getting an appointment is fast and easy!
If you have difficulty using our website, please email us or call us at (505) 325-8401
Privacy Policy