Lusk Family Dentistry

We are open and accepting appointments for all services. Contact our dental office at (505) 325-8401 to schedule your appointment today!

 

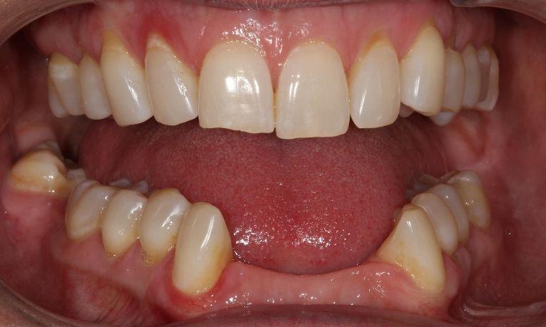
Fixed Bridge

After dealing with an ill-fitting partial denture for years, this custom fixed bridge restored function and smiles for this patient.

The benefits of a dental bridge

When a tooth is extracted, the gum tends to recede from the original line which can cause adjacent teeth to suffer from gum recession. It is easier to prevent this than fixing the issue when it arises. Dental bridges help those gums stay in tact. Additionally, eating becomes much much easier when you have a full set of teeth. Learn more about the benefits of a dental bridge on our service page.

Missing areas? Schedule a consultation

If you have a missing area in your mouth, a dental bridge might be a perfect fit for you. You can schedule an appointment through our contact page. Or give us a call during business hours at (505) 325-8401.

Related Services:

Dental Crowns and Bridges

Service Performed By:

Dr. Jared Lusk
Ready to book an appointment?
If you have difficulty using our website, please email us or call us at (505) 325-8401
Privacy Policy