Lusk Family Dentistry

We are open and accepting appointments for all services. Contact our dental office at (505) 325-8401 to schedule your appointment today!

 

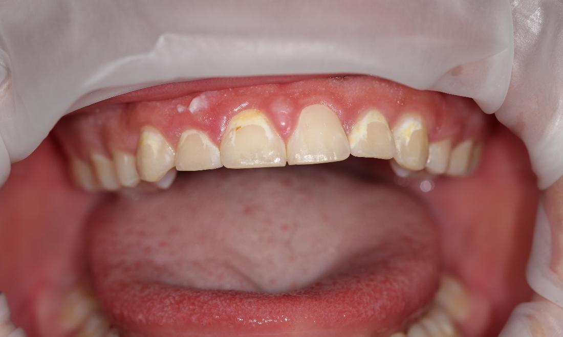
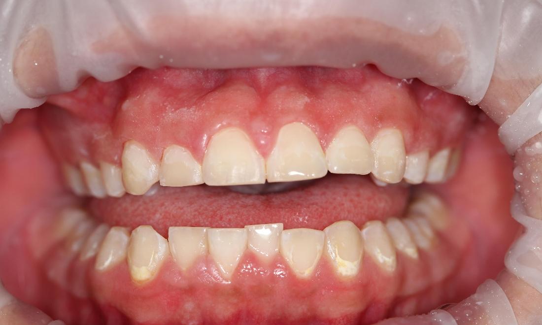
Don't Hide Your Smile with Cosmetic Bonding

This patient really disliked the discoloration of her teeth. She always hid her smile until now. Tooth colored filling material was simply bonded to the face of her teeth. If you would like to learn more about cosmetic dentistry in Farmington, NM call Lusk Family Dentistry to schedule your next dental appointment with us.

Service Performed By:

Dr. Jared Lusk
Getting an appointment is fast and easy!
If you have difficulty using our website, please email us or call us at (505) 325-8401
Privacy Policy