Lusk Family Dentistry

We are open and accepting appointments for all services. Contact our dental office at (505) 325-8401 to schedule your appointment today!

 

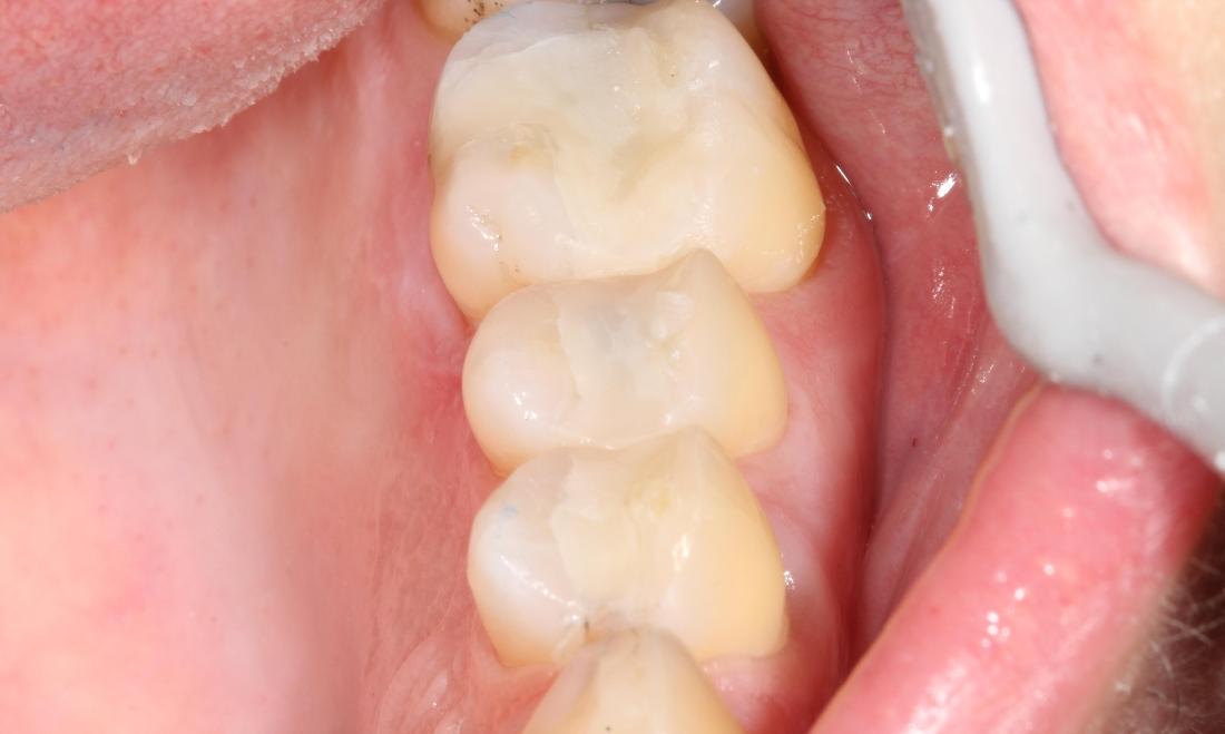
Metal-Free Fillings

We provide metal-free dental fillings to patients looking for a natural looking alternative to the once traditional metal amalgum. These types of fillings are stronger, more durable, and look great when compared the traditional metal amalgum fillings that are becoming a thing of the past. Often times Dr. Lusk will place a thin sheet of rubber "dental dam" around your tooth to keep the restoration process clean and dry. A tooth colored white composite filling material will bond to your tooth and will look and function like natural teeth should!

Related Services:

Tooth-Colored Fillings

Service Performed By:

Dr. Jared Lusk
Getting an appointment is fast and easy!
If you have difficulty using our website, please email us or call us at (505) 325-8401
Privacy Policy