Lusk Family Dentistry

We are open and accepting appointments for all services. Contact our dental office at (505) 325-8401 to schedule your appointment today!

 

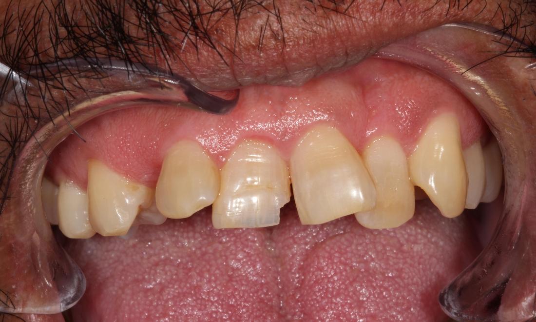
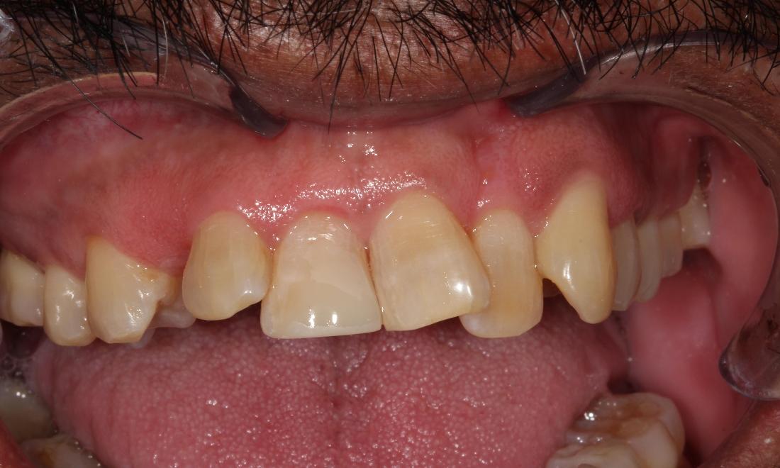
Restore Chipped Teeth with Cosmetic Bonding

Advice for all: Don't ever use your teeth to open a bottle! This chipped tooth was restored with cosmetic bonding at Lusk Family Dentistry. After the dental procedure, the tooth was back to full function and looked as good as new with a little tooth colored composite material! If you want to learn more about how cosmetic bonding can help you complete your smile call Lusk Family Dentistry today. 

Related Services:

Tooth-Colored Fillings

Service Performed By:

Dr. Jared Lusk
Still need an appointment?
If you have difficulty using our website, please email us or call us at (505) 325-8401
Privacy Policy