Smile Gallery: Tooth-Colored Fillings
Tooth-colored fillings help prevent further dental decay in your mouth. When you treat your cavities with tooth-colored fillings rather than metal fillings you are able to enjoy a consistently white smile without metal ruining your smile.


Using state-of-the-art restorative techniques, Dr. Lusk has the skill and experience necessary to handcraft your custom ceramic crowns so that you can obtain the beautiful, natural-looking smile you have been dreaming of.
How Ceramic Crowns can change your lifestyle
Dental crowns are an excellent way to restore a smile to a healthier and happier state. They can fix several teeth that may be cracked, heavily compromised with a cavity or misshapen.
Though dental crowns help fix damaged teeth, they can help simple day to day activities such as chewing, smiling and even talking. Learn more on our dental crown ...


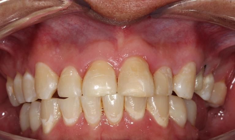
The visible wear on this patients teeth was very apparent after years of grinding and clenching his teeth. Notice the tips of the teeth in both images; the restorative process helped elongate his teeth and prevent further breakage. Dr. Lusk was able to restore the teeth to their former glory using tooth colored filling material that matched the shade of his teeth perfectly.
What else can dental bonding do?
With this particular patient, we fixed the tips of the upper and lower teeth. When a tooth has a chip, there is a high possibility of the tooth breaking further.
If your teeth have ...
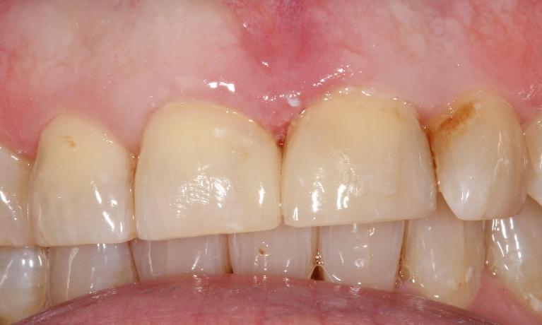
A cavity in a front tooth can be unsightly. Our patient at Lusk Family Dentistry was able to restore her beautiful smile with tooth colored composite filling material! Do you want to learn more about cosmetic bonding in Farmginton, MN? Contact Lusk Family Dentistry today to schedule your cosmetic dentistry appointment with us.
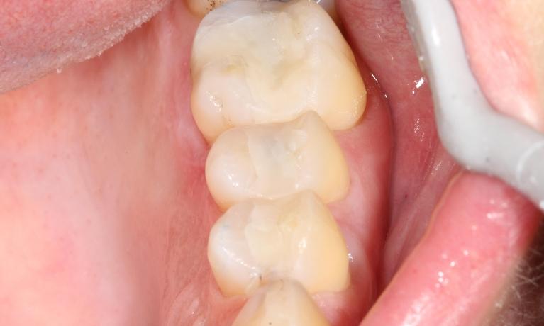
We provide metal-free dental fillings to patients looking for a natural looking alternative to the once traditional metal amalgum. These types of fillings are stronger, more durable, and look great when compared the traditional metal amalgum fillings that are becoming a thing of the past. Often times Dr. Lusk will place a thin sheet of rubber "dental dam" around your tooth to keep the restoration process clean and dry. A tooth colored white composite filling material will bond to your tooth and will look and function like natural teeth should!
Dental bonding in our dental office is an easy, conservative way to enhance the appearance of the teeth. It is also a super easy procedure used to repair chips and cracks in your teeth, or to correct alignment in a way that looks completely natural. Do you want to learn more about cosmetic bonding? Contact Lusk Family Dentistry to schedule your next dental appointment with us.
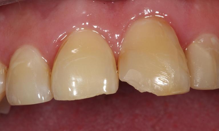
Composite resin is a tooth colored filling material used to mimic the natural color of your existing teeth. This patient chipped her tooth and was unsure about what was going to happen.
How Lusk Family Dentistry fixed this smile
Dr. Lusk was able to restore the tooth with composite bonding and create a seamless filling that is undetectable with the human eye at a social distance. When the tooth stays in tact to not require a dental crown, we can restore the tooth to a natural state with the help of a natural tooth colored filling. Learn more about
This patient really disliked the discoloration of her teeth. She always hid her smile until now. Tooth colored filling material was simply bonded to the face of her teeth. If you would like to learn more about cosmetic dentistry in Farmington, NM call Lusk Family Dentistry to schedule your next dental appointment with us.
Advice for all: Don't ever use your teeth to open a bottle! This chipped tooth was restored with cosmetic bonding at Lusk Family Dentistry. After the dental procedure, the tooth was back to full function and looked as good as new with a little tooth colored composite material! If you want to learn more about how cosmetic bonding can help you complete your smile call Lusk Family Dentistry today.